jazzophrenia.ru
  • Разделы
    • Мудрость в деталях

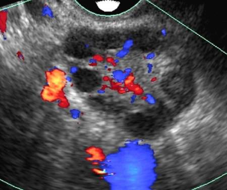
Фото УЗИ при серозной папиллярной цистаденоме


Раздел: Мудрость в деталях
Популярные разделы:
Мудрость в деталях
Смотрите еще:
Медная смазка 650 мл: применение и преимущества
Подборка изображений и материалов по горячей линии социальной защиты населения
Инструкция по номеру чека Почта России: Фото и разъяснения
Передача звука 5.1 через HDMI: настройка и фото
Жестянщик: Искусство и ремесло
Как активировать микрофон для голосового поиска: пошаговая инструкция
Моменты упорного труда: когда человек старается
ЖК Алые Паруса на Авиационной: фото комплекса и окрестностей
Copyright © 2010 - 2025 | Отказ от ответственности