jazzophrenia.ru
  • Разделы
    • Мудрость в деталях

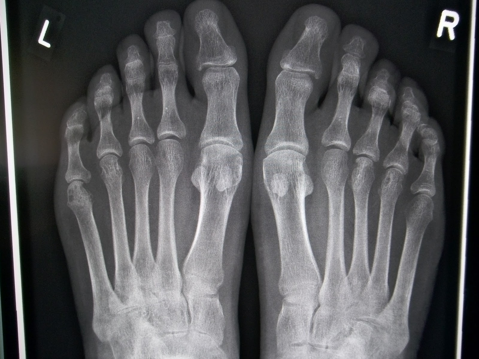
Артрит стопы: визуализация симптомов и лечения


Раздел: Мудрость в деталях
Популярные разделы:
Мудрость в деталях
Смотрите еще:
Картинки живописных поселков: природа и архитектура
Классика фотографии: Пленочный Зенит 122
Измерение обхвата головы: пошаговое руководство
Ко Дню науки: Вдохновляющие изображения и символика науки
Загадочные мужские лица: когда лицо не видно
Пошаговая инструкция по восстановлению пароля от Gmail
Идиома Have to face the Music: Значение и примеры использования
Геометрия: вычисление вершин квадратов
Copyright © 2010 - 2025 | Отказ от ответственности