jazzophrenia.ru
  • Разделы
    • Мудрость в деталях

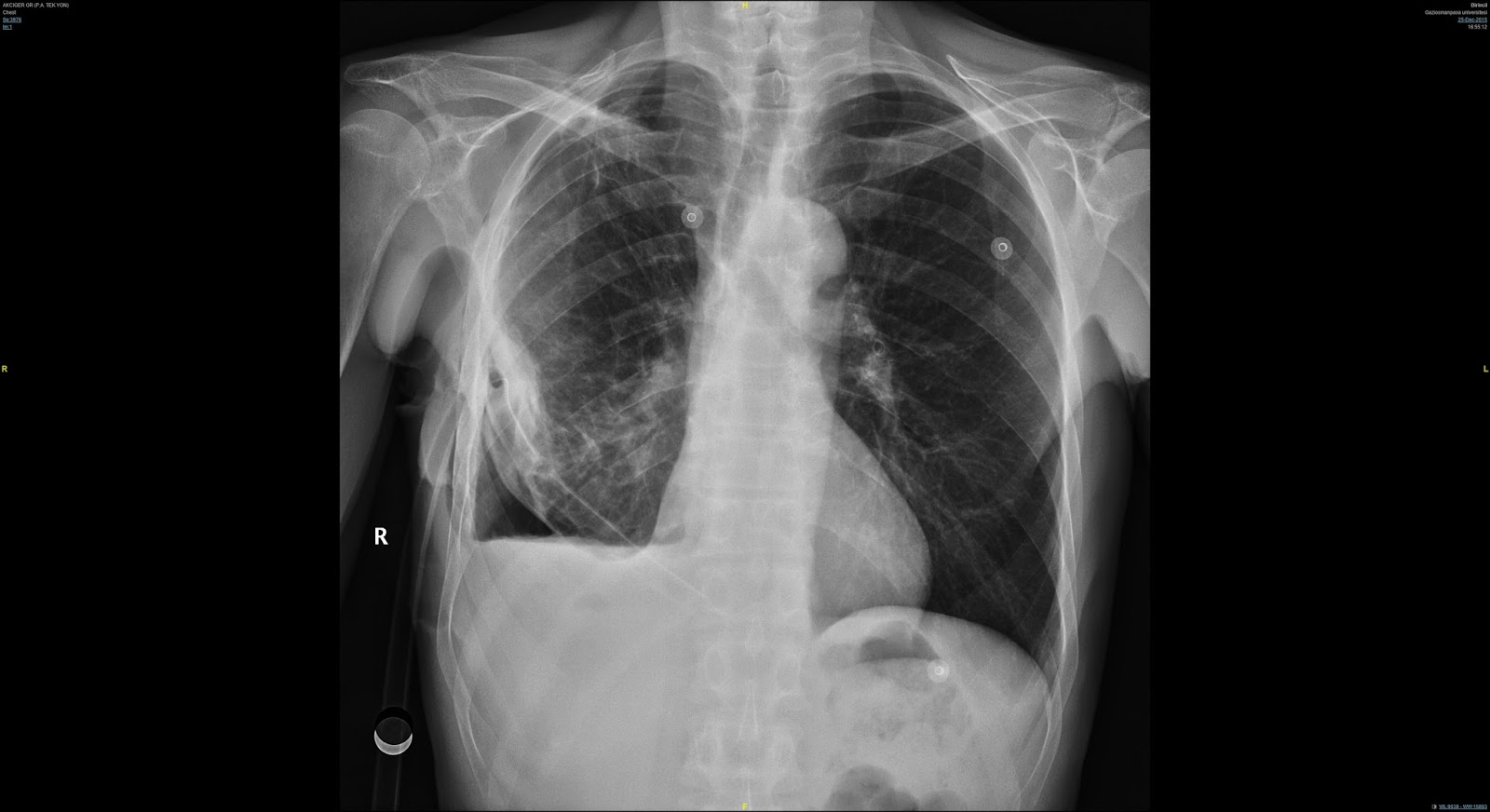
Рентген грудной клетки при гемотораксе: примеры и описание


Раздел: Мудрость в деталях
Популярные разделы:
Мудрость в деталях
Смотрите еще:
Итоги и выводы по культуре Древней Руси
Пиленый мел рафинад: производство и применение
Образы гнилых автомобилей Вольво: анализ и фотографии
Лара Крофт: образы из Tomb Raider 2008 — коллекция фото
Лучшие моменты с Наташкой из TikTok
Целебные свойства сибирской лиственницы: кора в медицине
Легендарные маунты: Черный киражский боевой танк в играх
Фотографии Валентины Башуровой 1983 года
Copyright © 2010 - 2025 | Отказ от ответственности