jazzophrenia.ru
  • Разделы
    • Мудрость в деталях

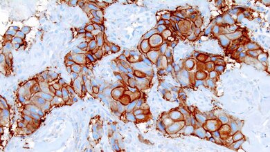
Исследования и диагностические изображения HER2-положительных опухолей


Раздел: Мудрость в деталях
Популярные разделы:
Мудрость в деталях
Смотрите еще:
Фотографии зимней ночи: холодная и загадочная атмосфера
Полезные фруктовые пастилки для здорового перекуса
Белковые молекулы: схемы и структуры
Разбор стихотворения Тютчева Проходя свой путь по своду
Тайная вечеря: Византийская интерпретация в искусстве
Осмотр перед вакцинацией: Примеры и этапы на фотографиях
Спящие моменты: забавные кадры с открытым ртом
Мисс Кейти Лизун: биография и достижения
Copyright © 2010 - 2025 | Отказ от ответственности