jazzophrenia.ru
  • Разделы
    • Мудрость в деталях

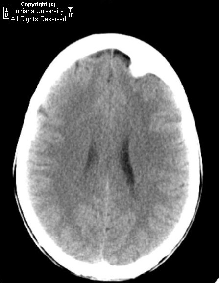
Что такое кортикальный гиперостоз: Симптомы и диагностика


Раздел: Мудрость в деталях
Популярные разделы:
Мудрость в деталях
Смотрите еще:
Эффектные аватарки с коронами
Исторические праздники 1911 года: редкие фотографии и картинки
Инженерные войска: Саперы и их задачи на поле боя
Лицензия Сбербанка России: актуальная информация на 2021 год
Фотографии видеокарт Gigabyte 2060 RTX
Обзор и модели смартфонов Lenovo 2016 года
Молодые врачи в очках: подборка профессиональных фото
Дриады в греческой мифологии: изображения и иллюстрации
Copyright © 2010 - 2025 | Отказ от ответственности