jazzophrenia.ru
  • Разделы
    • Мудрость в деталях

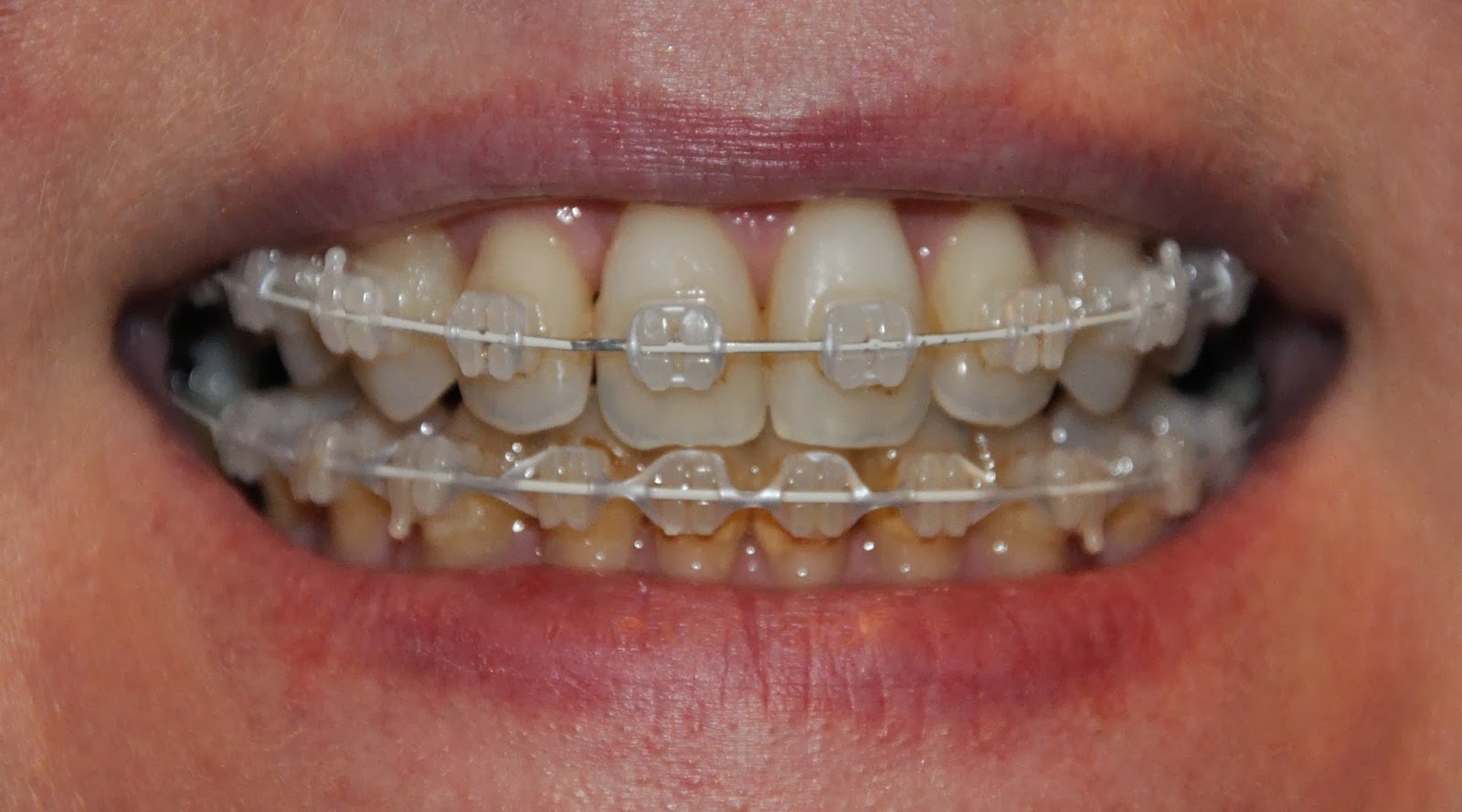
Керамические брекеты: преимущества и недостатки


Раздел: Мудрость в деталях
Популярные разделы:
Мудрость в деталях
Смотрите еще:
Статины в Чехии: важная информация и факты
Разбор статьи 162 ЖК РФ: юридические тонкости и последствия
Иллюстрации и фоновые изображения для стихотворений Лермонтова
Фотографии, сделанные во имя любви: Истории ради любимой
Симптомы до задержки месячных: Полезные материалы и иллюстрации
Фотографии упаковок и таблеток Донормила
Фотографии и инфографики по психическому здоровью человека
Работы тату-мастера Егора Лещева
Copyright © 2010 - 2025 | Отказ от ответственности